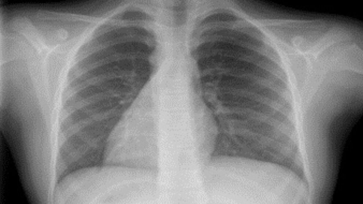
Por más increíble que parezca, lo cierto es que hay algunas personas que tienen el corazón en el lado derecho de su pecho. Esta extraña anomalía congénita se denomina situs inversus, donde los órganos torácicos y abdominales están posicionados en el lado opuesto de lo normal.
Aunque más extraña de lo normal, lo cierto es que quienes la tienen pueden vivir tranquilamente. Sucede que, aunque invertidos, los órganos suelen funcionar correctamente.
Situs Inversus, la extraña anomalía en la que los órganos están invertidos
La prevalencia exacta del situs inversus es incierta, con estimaciones que varían entre uno de cada 1.400 a uno de cada 50.000 individuos. En muchos casos, esta condición se descubre de manera incidental.
Según Cleveland Clinic, no existe una única causa para el situs inversus, ya que se ha vinculado a mutaciones en más de 100 genes diferentes. Sin embargo, algunos factores durante el embarazo, como la diabetes materna, el tabaquismo o el uso de medicamentos para la tos, pueden aumentar el riesgo.
En concreto, los órganos del cuerpo que se encuentran invertidos bajo esta condición son el corazón, los pulmones, el hígado, el estómago, el bazo y la esícula biliar.
Es fundamental que quienes lo padecen lo informen a sus médicos para evitar errores diagnósticos en situaciones de emergencia, como una apendicitis, que se manifestaría con dolor en el lado izquierdo.
Una complicación para los médicos
Una revisión clínica de 2022 destaca que las operaciones en personas con situs inversus pueden ser complicadas, ya que la mayoría de los cirujanos son diestros, y podrían encontrar incómodo el hecho de manejar los instrumentos con la otra mano.
Por otro lado, esta anomalía, en algunos casos silenciosa, puede llevar a dificultades a la hora de realizar un diagnóstico, retrasándolo y hasta confundiéndolo. ¿Conocías esta condición?






