(Editado por Pablo González) Fue al médico por un fuerte dolor al orinar y descubrieron algo increíble dentro de su vejiga. El paciente aseguró que los auriculares terminaron allí debido a una particular práctica sexual, y los médicos creyeron que presentaba problemas mentales.
Te puede interesar: 7 de mayo: Día Mundial de la masturbación
El increíble hecho sucedió en una guardia médica de Indonesia, en donde un paciente se acercó allí debido a que desde hacía días presentaba un dolor extremo al momento de orinar. La insólita razón de su dolor dejó boquiabiertos a todos: tenía unos auriculares en la vejiga.
La historia no termina acá, ya que el hombre luego admitió que los auriculares llegaron ahí debido a una particular práctica sexual. Los mismos médicos del lugar quedaron completamente sorprendidos al ver la radiografía.
Al ser consultado por la manera en la que se introdujo los auriculares, el paciente admitió que se los había introducido por la uretra mientras se masturbaba, y luego terminó reconociendo que no era la primera vez que realizaba esta práctica.
Pese a que practicaba este fetiche entre tres y cinco veces por semana “por placer y gratificación sexual”, lamentablemente, esta vez no pudo sacárselos, pero nunca creyó que le causaría un problema.
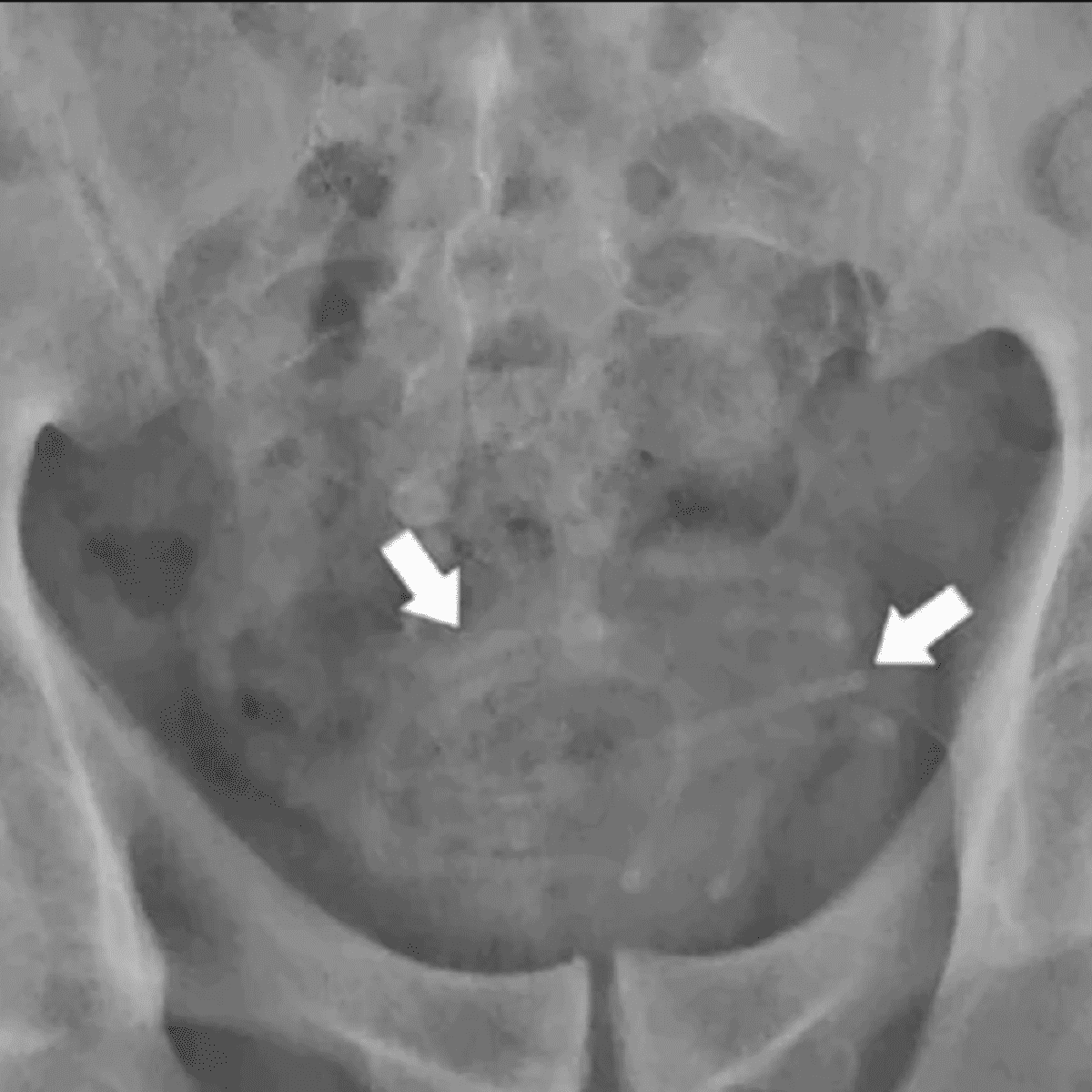
Al ver los auriculares en la vejiga, los médicos actuaron de inmediato para quitárselos cuanto antes. Para poder llevar a cabo la extracción, debieron utilizar unas pinzas especiales, y de esta manera, lograron descubrir que se trataba de unos cables de un ancho de 0,15 centímetros, y una longitud de 78cm.
Te puede interesar: Fue al baño a defecar, pero tuvo una beba y publicó la foto
Gracias a que no se le pegaron en la pared del órgano, pudo ser dado de alta rápidamente, luego de permanecer en la guardia durante el mismo día en el que ingresó.
La repercusión del caso fue tal, que decidieron hacerle un test psicológico al joven, ya que ningún médico podía creerlo. El sector de Radiología brindó un informe al respecto, en donde aseguraron que "no mostraba comportamientos psicóticos aparentes y estaba mentalmente bien”.
Incluso, le realizaron estudios para averiguar si el paciente presentaba algún TOC, ansiedad o depresión, pero también dieron negativo e indicaron que se encontraba completamente sano.
De igual manera, terminaron diagnosticando al hombre con “poliembolokoilamanía”, lo cual está relacionado con el acto de introducirse distintos objetos en orificios, tales como la uretra, el recto o la vagina.
El caso incluso salió en la revista científica WebMD, la cual indicó que este tipo de práctica aumenta el placer y la excitación sexual del paciente. Además, descubrieron que el joven no era el único interesado en este particular fetiche.
Pese a que los estudios indicaron que se encontraba mentalmente sano, algunos expertos aseguran que la inserción deliberada de objetos en el meato uretral, para la gratificación sexual, refleja una condición psicopatológica.



