Un informe publicado en la Biblioteca Nacional de Medicina en EEUU reveló que a una mujer de 27 años tuvo alojado durante meses un preservativo en el pulmón. La paciente había llegado al hospital con tos, fiebre y una mucosidad espesa persistente desde hacía medio año, por lo que le habían recetado antibióticos y tratamiento antituberculoso que no tuvieron ningún efecto, finalmente le encontraron la causa del problema tras una radiografía de tórax.
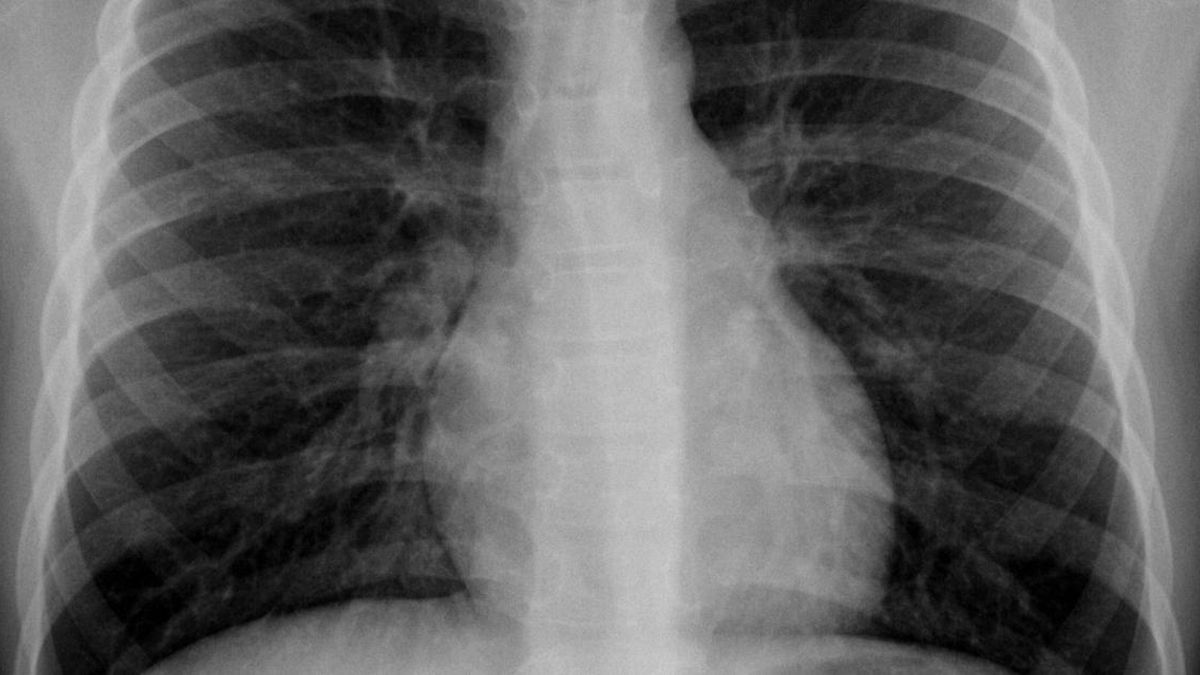
Según el informe médico, el esputo de mujer, una maestra de la escuela, fue examinado para detectar tuberculosis pero resultó negativo. Sin embargo, cuando le escanearon el pecho a través de una radiografía, encontraron una lesión en el lóbulo superior derecho de sus pulmones.
Tras una mayor investigación, parecía ser "una estructura en forma de bolsa invertida asentada en el bronquio". Los especialistas extrajeron la misteriosa "bolsa". Y pese a que la mayor parte fue destruida por el proceso, se pudo identificar que era un preservativo.
Naturalmente, los pulmones no aparecen entre los lugares donde se esperaría encontrar un condón. Los médicos, para elaborar el informe, formularon algunas preguntas de seguimiento más para llegar al fondo de lo que había pasado.
"Retrospectivamente, tanto el esposo como la esposa aceptaron haberse sometido a una felación", escribió el equipo en su informe. "Podían recordar que el condón se había aflojado durante el acto, y en ese momento, la señora también había experimentado un episodio de estornudos o tos". Tras esa verificación, el equipo detalló en su informe las razones por las que se demoró el diagnóstico:
1) Creen que es poco probable que el condón en sí mismo causase una lesión pulmonar directamente "debido a su consistencia blanda, elástica y gomosa", pero la obstrucción podría haber provocado la acumulación de secreciones, así como infecciones. Sin embargo, la forma en que el condón se agitaba dentro de su pulmón durante la respiración y la tos probablemente eliminó algunas secreciones, lo que provocó el retraso de los síntomas que el personal médico podría ver.
2) El equipo escribe que la pareja pudo haber dudado en revelar lo que había sucedido por vergüenza, o no relacionó la inhalación de un condón con el desarrollo posterior de tos.
3) Dada la edad del paciente, el equipo no consideró la inhalación de un cuerpo extraño como una posible explicación desde el principio.
La Biblioteca Nacional de Medicina (NLM, por su sigla en inglés), donde se presentó el estudio, es la biblioteca de medicina más grande del mundo. Es una fuente de información médica y servicios de investigación en biomedicina y atención médica.
Los médicos dijeron que esperaban que la mujer se recuperara, aunque le quedaron pequeños trozos de látex en el pulmón después de que se rompió, por lo que es probable que deba someterse a una broncoscopía adicional. El equipo cree que el caso puede ser el único de su tipo en la literatura médica.
Fuente: iflscience.com




