El cerebro de las personas al momento de envejecer es de lo que más deben cuidar. Muchas personas no le prestan atención a esto y dejan que pasen los años, lo que hace que este quede inactivo y su envejecimiento sean aún más acelerados.
El cerebro como fuente principal
El estudio fue dirigido por el Instituto Karolinska y la Universidad de Gotemburgo en Suecia, este equipo internacional analizó diversas señales biológicas para estimar la edad cerebral de las personas de 70 años sin deterioro cognitivo.
Lo más importante de este gran estudio fue el análisis de 739 personas en su salud vascular para mantener el cerebro joven. Hábitos como la actividad física regular, seguir una dieta saludable, dejar de fumar y controlar los niveles de glucosa para mejorar la salud vascular.
La neurobióloga Anna Marseglia, del Instituto Karolinska comentó: "Una conclusión del estudio es que los factores que afectan negativamente a los vasos sanguíneos también pueden estar relacionados con cerebros de aspecto envejecido, lo que demuestra lo importante que es mantener los vasos sanguíneos sanos para proteger el cerebro".
Por qué envejece el cerebro
En el estudio se llevó a cabo un análisis exhaustivo de los cerebros y se determinó lo que afecta a estos. La inactividad física, la diabetes y haber sufrido un accidente cerebro vascular son algunas de las razones del envejecimiento. También los niveles más altos de inflación y la glucosa en sangre tienen un gran impacto en el cerebro.
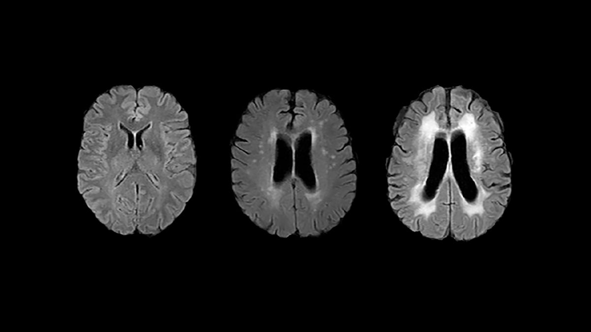
Pero si existe una diferencia entre los hombres y las mujeres, por ejemplo, los niveles de glucosa influyen más en la edad cerebral en los hombres. Se utilizaron modelos de inteligencia artificial de aprendizaje profundo para evaluar la edad cerebral a partir de exploraciones de resonancia magnética.
La neurobióloga afirma: "El año que viene lanzaremos un estudio para entender cómo la salud social, incluyendo el compromiso social, la conexión y el apoyo– en la mediana y avanzada edad, junto con el sueño y el estrés, influyen en la resiliencia del cerebro, con un enfoque en los factores de salud de las mujeres".





