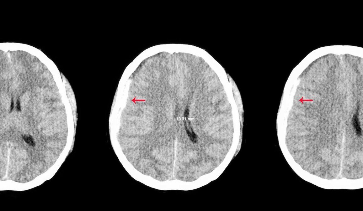
Operan a Maradona. Su médico personal confirmó que el astro argentino será sometido a "una cirugía de rutina". El Diego tiene un hematoma subdural en la cabeza, que según el doctor Leopoldo Luque "crece paulatinamente".
Operan a Maradona: qué dijo el médico sobre el hematoma subdural que tiene en la cabeza
El médico del Diego hoy afirmó que operan a Maradona esta misma noche en en la Clínica Olivos y que la intervención la hará él. "Lo voy a operar yo, hoy, con mi equipo en la Clínica Olivos. Él comprende, está de acuerdo con la intervención, le expliqué y está muy tranquilo", dijo.
Sobre el hematoma subdural que tiene explicó: "Hace un mes hicimos una tomografía normal, decidimos repetirla y tiene un hematoma subdural, de superficie, que crece paulatinamente. Es una cirugía de rutina, la ha tenido la vicepresidenta (Cristina Kirchner)".
Qué es un hematoma subdural
Es una acumulación de sangre entre la cubierta del cerebro (duramadre) y la superficie del cerebro. Puede producirse después de un traumatismo craneal, por un golpe. El sangrado llena la zona cerebral rápidamente y comprime el tejido cerebral.
¿Se cayó y por eso tiene un hematoma subdural en la cabeza?
"Maradona no recuerda haberse caído, puede haber sido algo muy leve. Es muy normal en los pacientes", afirmó el médico sobre las causas.
Otros factores que contribuyen
- Medicamentos anticoagulantes
- Consumo prolongado de alcohol
- Afecciones médicas que provocan que su sangre no coagule correctamente
- Traumatismo craneal repetitivo, como derivado de las caídas
- Ser muy joven o de muy avanzada edad




