El Día de la Amiloidosis Hereditaria por Transtiretina, también conocida como Polineuropatía Amiloidótica Familiar se conmemora cada 10 de junio con el objetivo de darle visibilidad a esta enfermedad poco frecuente, hereditaria y progresiva que afecta el sistema nervioso y distintos órganos del cuerpo.
Amiloidosis Hereditaria por Transtiretina: una enfermedad rara que afecta a unas 50 mil personas en el mundo
La Amiloidosis Hereditaria por Transtiretina, también conocida como Polineuropatía Amiloidótica Familiar, es una enfermedad hereditaria y progresiva que afecta el sistema nervioso
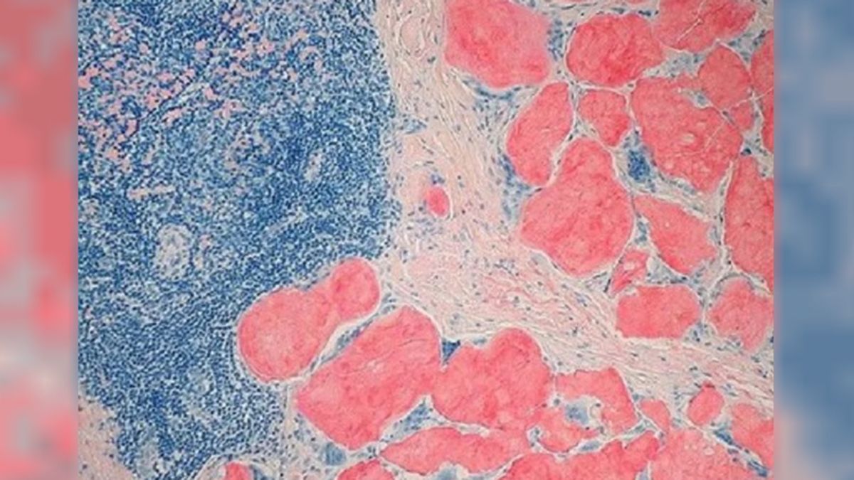
El nombre "polineuropatía" sugiere una enfermedad que afecta muchos nervios, mientras que "Amiloidótica" se refiere al daño asociado con el depósito de fibras proteicas denominadas amiloides, que impactan la estructura y función de los tejidos afectados.
La fecha se eligió en memoria de uno de los primeros doctores investigadores de esta enfermedad. La Polineuropatía Amiloidótica Familiar (PAF) fue descrita en Portugal por el Doctor Corino Andrade en 1952. También es conocida como Enfermedad de Andrade, en honor a su descubridor, quien nació el 10 de junio.
El Doctor Andrade publicó el primer artículo basado en estudios con pacientes durante un periodo de 12 años, recopilando información que detalla los síntomas que hoy conocemos. Además, describió cómo las personas afectadas acumulan esta sustancia anómala en diversas partes del cuerpo, produciendo con los años una neuropatía mixta y progresiva que altera el funcionamiento de los nervios.
La Amiloidosis Hereditaria por Transtiretina es una Enfermedad Poco Frecuente (EPOF) y poco conocida. La EPOF afecta a un número reducido de personas en una población determinada y varían según el país o la región. El mayor desafío es lograr un diagnóstico certero, que puede tardar entre 5 y 10 años, requiriendo hasta ocho visitas a diferentes especialistas. Se estima que más de cuatro de cada diez personas reciben al menos un diagnóstico erróneo durante el proceso.
La TTR (Transtiretina) es una proteína sintetizada y secretada principalmente por el hígado. Su función principal es transportar la hormona tiroidea (T4) y la vitamina A. Sin embargo, cuando ocurren mutaciones genéticas, la estructura de esta proteína se altera. Estas mutaciones causan que la TTR se pliegue de manera anómala formando fibrillas amiloides insolubles. Estas fibrillas se acumulan en los órganos y tejidos del cuerpo, lo que puede llevar a diversas complicaciones y enfermedades, como la Amiloidosis Hereditaria por Transtiretina.
Los síntomas son inespecíficos
El principal obstáculo para diagnosticar la Amiloidosis Hereditaria por Transtiretina es que sus síntomas son inespecíficos. Algunos de los más frecuentes incluyen mareos, diarrea, estreñimiento, dificultades para caminar y hormigueo en las piernas. La afección clínica suele aparecer alrededor de los 30 años o incluso después de los 60 en algunos fenotipos. La proteína defectuosa afecta el cuerpo lentamente, por lo que los primeros síntomas pueden aparecer hasta 20 años antes de una manifestación más clara de la hATTR. El depósito de amiloide se genera lentamente, por lo que los primeros síntomas no aparecen hasta la adultez.
Dentro de la Amiloidosis Hereditaria por TTR destaca la presentación neurológica conocida como Polineuropatía Amiloidótica Familiar. El nombre "polineuropatía" sugiere una enfermedad que afecta muchos nervios, y "Amiloidótica" indica el daño asociado al depósito de fibras proteicas denominadas amiloides, que impactan la estructura y función de los tejidos afectados.
►TE PUEDE INTERESAR: Cáncer de próstata: se diagnostican 13 mil nuevos casos por año en Argentina
La sintomatología heterogénea y la poca difusión de información sobre esta enfermedad hacen que los pacientes pasen por hasta cinco especialistas antes de ser diagnosticados correctamente, lo que resulta en mucho tiempo sin los cuidados adecuados y un mayor desarrollo del padecimiento, profundizando los síntomas y deteriorando la calidad de vida.
Las señales de alarma deben encenderse ante la aparición de un conjunto de síntomas. El primero es la neuropatía sensitivo-motora progresiva. Si a esta condición se le suman uno o más de los siguientes síntomas, es recomendable consultar a un profesional: disfunción autonómica precoz (disfunción eréctil, hipotensión ortostática), manifestaciones gastrointestinales (diarrea crónica, alternancia entre estreñimiento y diarrea), pérdida de peso no intencional, hipertrofia cardíaca, arritmias, bloqueos ventriculares o miocardiopatía, síndrome de túnel carpiano bilateral, insuficiencia renal (proteinuria o hiperazoemia leve) y opacidades vítreas.
Abordaje interdisciplinario
Para el tratamiento adecuado de la hATTR es importante el diagnóstico precoz. Lo primero que se hace cuando llega un paciente es un buen examen físico. Si tiene síntomas en los miembros inferiores, un electromiograma es uno de los estudios más importantes, junto con el ecocardiograma (ecografía del corazón) y, si las manifestaciones clínicas lo ameritan, un tilt test (poner al paciente en una camilla y cambiar de posición para observar cómo reacciona su sistema cardiovascular). Según la sintomatología, se puede indagar en otros tejidos y órganos.
Realizar un diagnóstico correcto es vital para determinar el pronóstico y recibir la asistencia apropiada lo más rápido posible. Los grupos de síntomas clínicos mencionados deben plantear la sospecha de la enfermedad, especialmente si existe una historia familiar positiva, considerando que es una enfermedad hereditaria.
Si hay sospecha, la confirmación patológica del depósito amiloide y el diagnóstico genético son altamente recomendados. Además, investigaciones adicionales como evaluaciones neurológicas, cardíacas, autonómicas y oftalmológicas pueden proporcionar más seguridad para obtener el diagnóstico correcto.
►TE PUEDE INTERESAR: Bronquiolitis: seis consejos de kinesiología respiratoria para controlarla en casa
Otro punto crucial es la prueba genética, para confirmar el diagnóstico de la enfermedad, especialmente en pacientes con historia familiar o con un conjunto de síntomas que representen signos de alerta. En familias con una mutación conocida, se pueden realizar test genéticos directos para esa mutación. Cuando se desconoce la mutación o no hay historia familiar, se debe realizar la secuenciación completa del gen TTR para identificar la variante genética correspondiente
El médico Esteban Calabrese, especialista en Amiloidosis, entiende que “es una oportunidad para que tanto pacientes, gente que desconoce su diagnóstico y profesionales de la salud puedan informarse y conozcan que hay equipos médicos interdisciplinarios, tanto en Rosario como en otros centros del interior del país, que conocen las enfermedades raras, las trabajan, las pueden tratar y pueden acompañar a los pacientes en todo lo que es este periplo, en muchos casos hasta llegar al diagnóstico”.






